Transcarotid artery revascularization (TCAR) for carotid artery disease
Endovascular surgeons at Penn Medicine are performing transcarotid artery revascularization (TCAR) to treat carotid artery disease.
Endovascular surgeons at Penn Medicine are performing transcarotid artery revascularization (TCAR) for the treatment of carotid artery disease.
A cause of more than 40,000 strokes each year in the United States, carotid artery disease manifests as intravascular atherosclerotic stenosis, often at the bifurcation between the internal and external carotids. Increasing levels of stenosis in the carotid arteries elevate the chance of material embolizing to the brain and thus the potential for stroke.
Typically, patients who have mild to moderate stenosis without stroke symptoms are treated conservatively with medications. Intervention (revascularization) is offered to patients with stroke symptoms and moderate to severe stenosis and to patients with severe stenosis to reduce the risk of stroke.
Performed to remove or stabilize the plaque that causes stenotic narrowing, carotid revascularization traditionally involves endarterectomy (CEA) or trans-femoral carotid artery stenting (TF-CAS).
CEA, the gold‐standard for patients with carotid stenosis, involves open surgery at the carotid to physically remove the plaque causing the blockage. TF-CAS is a percutaneous procedure accomplished by placing a stent in the carotid over the plaque to stabilize it and open the vessel.
TCAR for enhanced safety during revascularization
The safety of revascularization has been a source of concern since its beginnings in the 1950s. This is because in a minority of patients, both CEA and TF-CAS CEA cause periprocedural stroke as a result of the release of plaque debris into the carotid, with TF-CAS shown to have the highest peri-procedural stroke rates.
Developed to improve upon the safety of stent-based revascularization, Transcarotid Artery Revascularization (TCAR) is now available at Penn Presbyterian Medical Center, the Hospital of the University of Pennsylvania and the Perelman Center for Advanced Medicine.
A recent innovation, TCAR involves open exposure at the common carotid artery, allowing surgeons to avoid navigating the aortic arch (a necessity in TF-CAS), which is usually full of plaque debris.
What is unique to TCAR is a neuroprotection system based on reversing the flow in the carotid artery to keep debris out of the brain. This is achieved through the neuroprotection system's manipulation of differential pressure within the arterial and venous systems. The result is that atherosclerotic debris escaping into the carotid is drawn away from the brain where it can be filtered out of the blood.
Established prior to engaging plaque, TCAR neuroprotection is done with a specialized sheath and stent system.
TCAR indications
TCAR is available for a large subset of patients with carotid stenosis, and is especially favorable for people at a higher risk of complications from carotid endarterectomy due to age, anatomy, prior surgery, or other issues.
It is important to keep in mind that because certain anatomic factors are necessary to safely perform TCAR, some patients will not qualify. Generally, TCAR can be an option for symptomatic patients with moderate carotid artery stenosis (>50%) and asymptomatic individuals with severe stenosis (>70%).
Learn more about Transcarotid Artery Revascularization (TCAR) patient candidate criteria.
Case study
Mr. M, a 66-year-old male with a history of transient ischemic attack and bilateral carotid artery stenosis, was referred for a TCAR procedure to Shang Loh, MD at the Division of Vascular Surgery and Endovascular Therapy at Penn Presbyterian Medical Center.
At his presentation, Mr. M denied having vision loss, speech difficulties, or focal neurologic deficits in his arms, hands, legs, or feet. Outside of hypertension and dyslipidemia, for which he took antihypertensives, a statin, aspirin, and clopidogrel, Mr. M's prior medical history was unremarkable.
At Penn, CT images revealed a high-grade stenosis (74%) of the right carotid bulb and internal carotid artery (Figure 1), with evidence of softer plaque in the carotid bulb, and occlusion of the left carotid artery. These scans also found a very high bifurcation of the external and internal carotids, placing Mr. M in the high risk category for carotid endarterectomy.
Based on these findings, a decision was made to proceed with TCAR for the right-sided stenosis. The occluded left carotid no longer posed any stroke risk as there was no longer any flow in that vessel. The risks, benefits, and alternatives of TCAR were explained to Mr. M, who agreed to undergo the procedure.
TCAR procedure
Mr. M’s TCAR was performed in the hybrid vascular operating room at PPMC. At surgery, he was sedated and thereafter received local anesthetic care as appropriate.
Following normal preparation, a standard transverse incision was made above his clavicle and dissection carried out at the base of his neck. The common carotid artery was exposed and freed from its surrounding tissues.
Ultrasound was used to identify and puncture the common femoral vein on the right with placement of the venous return cannula sheath. The common carotid artery was then punctured with a microaccess kit, and after confirmation of appropriate placement, the TCAR delivery sheath was placed. Flow reversal was established. The common carotid artery was then clamped proximally to reverse flow in the carotids.
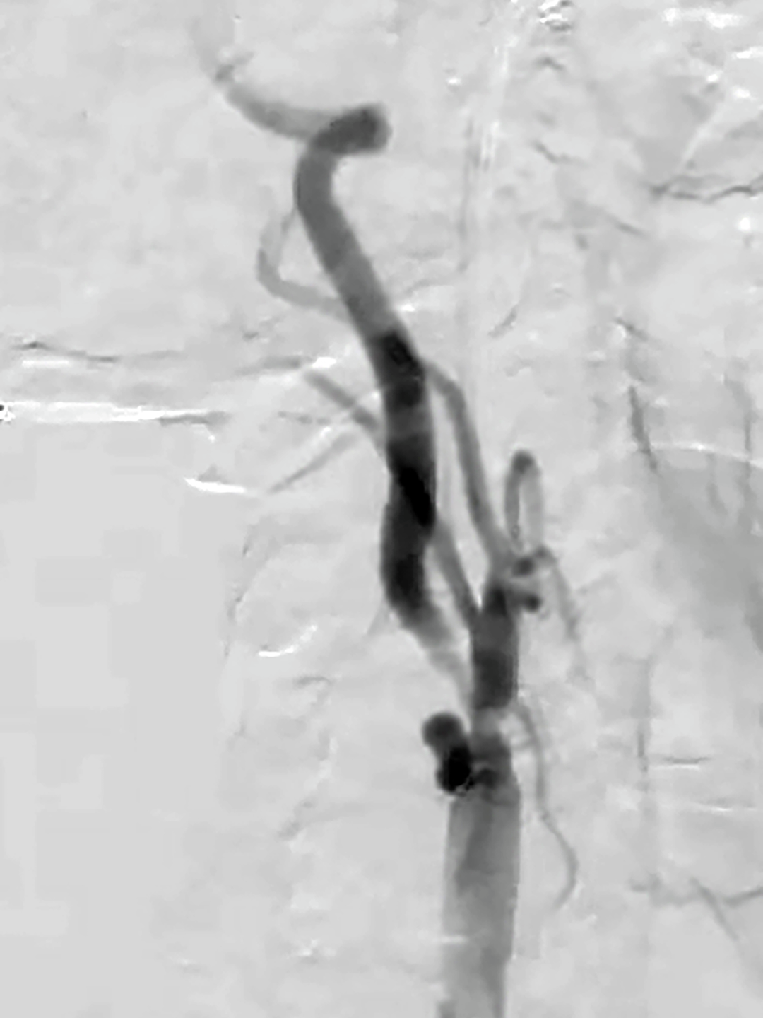
After demonstrating Mr. M’s capacity to tolerate high flow on the flow reversal system, a balloon was used to pre-dilate the lesion followed by placement of the carotid stent. A completion angiogram demonstrated good angiographic results (Figure 2), precluding the need for post-dilatation. The proximal common carotid clamp was then removed.
Flow reversal was then discontinued, and the filter opened, demonstrating copious amounts of captured debris. The sheath was then removed and closure of the carotid artery and hemostasis was achieved. The incision was then closed and sheath removed from the groin.
Mr. M tolerated the procedure well, and was transferred in stable condition and neurologically intact to the ICU, where he remained overnight.
Following his discharge, he recovered at home without incident. At his two-week follow-up, he reported a return to normal daily activity.
TCAR studies at Penn Medicine
Performed across Penn Medicine for several years, TCAR has been the focus of investigations by Grace J. Wang, MD, Director of the Vascular Laboratory at the Hospital of the University of Pennsylvania, and Meghan Dermody, MD, Chief of the Division of Vascular Surgery at Penn Medicine Lancaster General Health.
Dr. Wang co-authored an international retrospective investigation in more than 18,000 patients having TCAR that concluded that TCAR was safe for younger individuals and could be the preferred method for performing carotid stenting in women and older patients, particularly older women.
Dr. Dermody is one of three National Co-Investigators for the currently enrolling post-market study ROADSTER 3. This prospective, multi-center single-arm registry is designed to assess the real-world treatment of standard surgical risk patients with carotid artery disease using TCAR.
About Penn Vascular Surgery and Endovascular Therapy
Penn Medicine has one of the nation's largest and most respected Departments of Vascular Surgery and Endovascular Therapy.
Here, Penn VS & ET's comprehensive team of heart and vascular surgeons provide the most advanced treatments for every vascular condition — including carotid stenosis, aneurysm endografts, limb preservation, treatment of carotid stenosis, and thoracic outlet treatment — in an environment defined by technical innovation.
Faculty Team
Penn Presbyterian Medical Center
- Nathan Belkin, MD - Vascular Surgery
- Julia D. Glaser, MD - Vascular Surgery
- Shang Loh, MD - Vascular Surgery
Hospital of the University of Pennsylvania
- Alexander S. Fairman, MD - Vascular Surgery
- Venkat R. Kalapatapu, MD - Vascular Surgery
- Darren B. Schneider, MD - Vascular Surgery
- Grace J. Wang, MD, MSCE, FACS - Vascular Surgery
Lancaster General Health
- John D. Affuso, MD, FACS - Vascular Surgery
- Meghan Dermody, MD, FACS, FSVS - Vascular Surgery
- Ruhani Nanavati, MD, RPVI - Vascular Surgery
- Thomas O'Connor, DO - Vascular Surgery
- Todd A. Wood, MD, FACC, FSCAI - Cardiology, Vascular Medicine