Surgeons operate below lighting equipment

Robotic surgery for complex abdominal hernia repair

The Penn Hernia Program performs reparative and reconstructive surgeries—including advanced robotic procedures—for complex abdominal wall injuries.

  • October 25, 2024

The surgeons of the Penn Hernia Program specialize in reparative and reconstructive surgeries—including advanced robotic procedures—for patients with complex abdominal wall presentations and those for whom surgery brings an elevated risk for morbidity and/or mortality.

The factors known to increase the operative and postoperative risks of hernia surgery are numerous and diverse. These include elevated body mass (particularly morbid obesity), smoking and other lifestyle factors, current steroid therapy, prior hernia surgery or radiation therapy, hernia type (i.e., femoral, spigelian, incisional), the presence of abdominal adhesions, chronic fistula, infection, strangulated, obstructed or perforated bowel, and such comorbid disease states as diabetes and pulmonary or cardiovascular compromise.

Robotic hernia surgery is a minimally invasive surgery wherein robotic instruments are placed inside the abdomen through small incisions and the surgeon uses a console to control the robotic arms and repair the affected area (Hernia, 2021). The robotic approach to treating complex hernia and reconstructing the abdominal wall is safe and can improve patient outcomes, even in more difficult cases. In patients with complex hernias, when compared with open surgery, robotic hernia repair has been associated with lower risk of complications, surgical site occurrence (a wound complication like skin or soft tissue necrosis), and systemic complications, as well as a significantly shorter hospital stay 1.3 days vs. 6 days (Hernia, 2018).

Both surgeon and institution must also be considered factors in the success of complex hernia repair. Surgical experience as reflected in the number of surgeries performed, surgical judgment and acumen, and diversity of technique and approach, cannot be underestimated, particularly for hernias presenting with multiple complications or comorbidities. Historically, successful hernia repair is more likely to occur at academic medical centers and other institutions that regularly perform these surgeries, and that possess the surgical and critical care faculty and resources to anticipate and prevent intraoperative complications and ensure optimal follow-up.

About the Penn Hernia Program

Penn Medicine’s Hernia Program provides comprehensive evaluation, diagnosis and advanced surgical care from abdominal and plastic reconstructive surgeons who specialize in the full spectrum of hernia repair. While Penn Medicine’s Hernia program treats common hernias, it also has a specialized approach that includes robotic technology for treating complex cases. These robotic advances help many patients recover more quickly and with fewer complications.

Case study

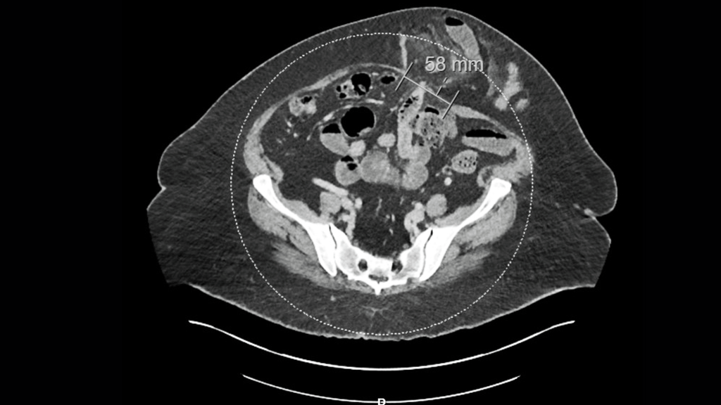
CT scan showing a large recurrent ventral hernia containing multiple loops of bowel
Figure 1: CT scan showing a large recurrent ventral hernia containing multiple loops of bowel.

Mrs. A, an 81-year-old woman, was admitted to Pennsylvania Hospital for management of small bowel obstruction and abdominal pain. This was her second obstruction in three years.

At admission, she had a BMI of 38, hypertension, and bullous pemphigoid. Her medical history included a total abdominal hysterectomy and other abdominal surgeries, including the source of her present pain, a previous left lateral ventral hernia repair at an outside hospital. A CT scan at this time (Figure 1) showed a large recurrent ventral (incisional) hernia containing multiple loops of bowel.

Discharged two days after her pain and bowel obstruction resolved, Mrs. A was enrolled in the Penn Hernia program to prepare for hernia repair following optimization. Given her risk factors (including age and obesity), a robotic surgery was planned to repair her incisional hernia.

She agreed to begin a weight loss program to decrease her risk of perioperative morbidity and hernia recurrence, an effort that involved low-dose phentermine and dietary changes.

Mrs. A returned to the Penn Hernia Program for a scheduled visit three months later and met with GI surgeon Leslie M. Okorji, MD, a specialist in complex robotic hernia repair at Penn Hernia Program Washington Square.

Since her discharge, she had reduced her BMI to less than 35, and had no further obstructive symptoms since her previous admission. She was ambulatory with a cane for assistance, denied dyspnea on exertion, and was able to complete her ADLs.

After consultation, Mrs. A agreed to robotic hernia repair and abdominal wall reconstruction with the goal of preventing future bowel obstructions and restoration of the physiological and functional capacity of the abdominal wall.

Procedure

Mrs. A’s robotic abdominal wall reconstruction involved lysis of adhesions to remove the scar tissue causing her obstruction and repair of her complex hernia with sutures and mesh after a tissue release to reduce tension. She tolerated the procedure well. There were no intraoperative complications and she was discharged at post-operative day two with both retrorectus and subcutaneous drains and an abdominal binder was placed after surgery.

At discharge her vital signs remained stable, she had no fever, there were no signs of active bleeding, and she was able to ambulate normally. She was prescribed medications for pain and a laxative.

Follow up

Mrs. A returned for a follow-up visit with Dr. Okorji one week after her surgery. She stated that she only had mild postoperative pain, was no longer was taking pain medication, was tolerating a regular diet, and had regular bowel function.

Upon examination, her abdomen and incision were healing well. Her drains were removed in the office. She was instructed to avoid heavy lifting and wear an abdominal binder for one month. Another follow-up telemedicine visit was performed one month later, and she was doing excellently at that time. She was very thankful for her care.

Faculty Team

The Penn Medicine Hernia Program team collaborates with Penn specialists in infectious disease, general surgery, physical medicine and rehabilitation, physical and occupational therapy, and pain management teams to ensure that patients benefit from individualized treatment plans and optimal outcomes.

The Hernia Program encompasses the diagnosis and repair of all hernia types; the use of advanced diagnostic and surgical modalities such as robotics, and operative techniques and approaches; and a thriving hernia research program that evaluates new products and preventative measures.

Follow us

Related articles

Physician updates straight to your inbox

Subscribe to receive the latest clinical updates and news for physicians—including research highlights, case reports, and expert perspectives.