Neurosurgeons operate on brain tumor

Corrective surgery for failed back surgery syndrome

At the Penn Spine Center, Penn Medicine neurosurgeons are performing surgery to address the chronic pain of failed back surgery syndrome (FBSS), a consequence of prior surgeries and their complications.

  • December 16, 2024

Neurosurgeons with the Penn Spine Center are performing surgery to address the chronic pain of failed back surgery syndrome (FBSS), an event occurring in the wake of prior corrective and revision lumbar surgeries.

The sources of FBSS are too numerous for this consideration but can be generally described as the manifestation of abnormal physiological and pathological events and resultant pain in the wake of lumbar spinal surgery. The implication of “failure” should not be assumed to be the result of surgical fault, given the idiosyncrasies of healing and device patency over time.

Because there is no cure for FBSS, the object of therapy is to reduce chronic pain and its effects. To achieve this end, most patients will have attempted non-surgical treatments, including pharmacologic management, physical therapy, behavioral modification, epidural steroid injections, nerve blocks, radiofrequency ablation, and spinal cord stimulation (neuromodulation). Cognitive behavioral therapy may also have a place in FBSS management.

For a subset of individuals, surgical intervention is the only recourse for the unremitting pain of FBSS. The intent of these surgeries is to ascertain and correct the constellation of potential sources of pain in FBBS, which may be related to prior surgery (broken or mobile fixation devices), aging (osteoporotic degeneration), aberrant healing (pseudoarthrosis, heterotopic bone, scar tissue formation) or accommodation to affliction. The latter includes kyphosis, kyphoscoliosis, lordosis, muscle degeneration, postural anomalies, mobility concerns, and substance abuse.

Surgeries, which have the aim of relieving compression, correcting the sagittal plane, and removing nerve impingement, may include fusion procedures, discectomy, laminectomy, and decompression using hyperlordotic cages and other instrumentation.

Case study one

An X-ray shows a woman with a severe curvature of the spine and lower back fusion screws
Figure 1: Kyphosis, kyphoscoliosis, and nonunion in a 59 y.o. patient following L3-5 laminectomy and fusion at an OSH.

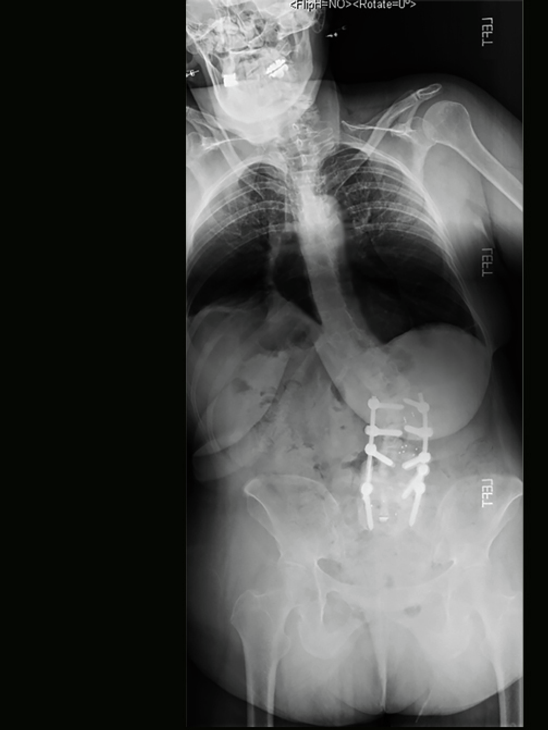
Mrs. T, a 59-year-old woman, was referred to the Penn Spine Center to correct a series of complications resulting from four previous lumbar operations. These complications include heterotopic ossification, dense fibrous scarring, osteoporosis, L2 proximal junctional kyphosis and kyphoscoliosis, and nonunion following a previous L3-5 laminectomy and fusion (Figure 1). At presentation, she was in severe pain and wheelchair-bound.

Following a consultation with Ali K. Ozturk, MD, a specialist in complex spine surgery, a two-stage procedure was planned for corrective surgeries to occur on separate days.

The first (anterior) stage aimed to correct the structural deviations and disfigurements resulting from her previous surgeries; the subsequent (posterior) surgery would address the abnormal curvature and compression of her spine and, thus, her pain and ambulatory issues.

Stage one procedure

The first stage of Mrs. T’s surgery had the objective of effecting an anterior spinal fusion at L2-L3 and L3-L4, followed by an anterior osteotomy and removal and replacement of existing implants in the same location employing hyperlordotic cages with anterior instrumentation. Finally, the surgery would explore a fusion mass between L2-L3 and L3-L4.

Following normal preparation, it became apparent that access to Mrs. T’s spine would be complicated by extreme scarring at the L4-L5 level. Thus, osteotomies were initiated at the L2-L3 and L3-L4 levels to excise bony growths from the previous cage insertions in the anterior fusion. The cages were then removed, and following complete diskectomies at L2-L3 and L3-L4, two 30-degree hyperlordotic cages were inserted, with screws placed at L3 and L4. An intraoperative x-ray was taken, demonstrating excellent lordosis and good hardware placement. Mrs. T’s incision was closed, and she was extubated. Noted to be in good neurological condition, she was taken to the ICU to await the next stage of her surgery.

An X-ray shows the effects of surgery and instrumentation to straighten a severely curved spine
Figure 2: The same patient following two-stage anterior/posterior surgeries to correct structural deviations and address abnormal curvature and compression of the spine.

Stage two procedure

The object of this stage of Mrs. T’s surgery was to place posterior segmental instrumentation and effect fusion arthrodesis from T3 to the sacrum; insert pelvic instrumentation; remove previous lumbar hardware with re-instrumentation of the lumbar spine; explore the existing fusion mass; perform osteotomies at L2-3 and L3-4 with decompression of the spinal canal; and apply bone morphogenetic protein (BMP) for arthrodesis.

Mrs T was returned to the operating room and again prepped using normal procedures. Neuromonitoring leads were then placed in anticipation of triggered electromyography to monitor the pedicle screw position.

Following removal, inspection, and reinsertion of the previous instrumentation from L2-L5, the dorsal bony elements from T3 to the sacrum and bilateral iliac wings were exposed. Retractors were put in place, and instrumentation and pedicle screws were inserted bilaterally from the sacrum to T5. Screws and other instrumentation were then placed up to T3 as needed.

Once all instrumentation was in place, the screws were stimulated with good results. Anteroposterior and lateral X-rays were obtained, demonstrating excellent hardware placement. Focus then shifted to the pelvic instrumentation with the insertion of paired 80 mm screws at the right and left iliac wings. Teardrop views of the screws confirmed excellent hardware placement.

The planned osteotomy was complicated by significant scarring between L2 and L4, necessitating the use of microdissection and a drill to navigate through the extensive previous fusion mass. This approach allowed for the identification of the underlying dura, and Smith-Petersen osteotomies were performed with some difficulty at L2-3 and L3-4. At the procedure’s conclusion, an additional 30 to 40 degrees of lordosis was achieved, as confirmed by X-rays.

In the surgery’s concluding phase, two long rods were fashioned and put in place, with connecting rods placed laterally at the second iliac screws (Figure 2). The wound was then copiously irrigated with pulse lavage irrigation containing gentamicin. The remaining dorsal bony elements were decorticated with a high-speed drill. Autograft was laid from T4-L1, and BMP was used in the previous lumbar spine. Normal procedures for wound closure then took place.

Mrs. T was then taken to the ICU, where she demonstrated good neurological function. She remained in the hospital for eight days before moving on to rehabilitation therapy.

Case study two

A pair of X-rays (side and front) show a woman with severe forward curvature of the spine
Figure 3: A 56 y.o. patients with ankylosing spondylitis and severe kyphosis following L2-L5 spinal fusion at an OSH.

Mrs. G, a 56-year-old woman, was referred to the Penn Spine Center with ankylosing spondylitis, severe kyphosis, and unremitting back pain. Mrs. G had previously had a spinal fusion at L2-L5 (Figure 3), and imaging suggested a fusion mass in this region of the spine.

Following a consultation with Dr Ozturk, surgery was planned to remove and replace Mrs. G’s previous lumbar fusion hardware and address her kyphosis.

The dorsal bony elements from T7 to the sacrum (including the bilateral iliac wings) and prior instrumentation at L2-L5 were then exposed, allowing exploration of the aforementioned fusion mass. Instrumentation was removed from L2-L5 (with the exception of L4, where a planned pedicle subtraction osteotomy was planned) and subsequently reinserted using 1 mm larger screws.

A pair of X-rays demonstrate the effects of surgery and full spinal instrumentation to straighten severe forward curvature of the spine
Figure 4: 56 yo.o. patient following removal and replacement of lumbar fusion hardware and instrumentation to address kyphosis.

Bilateral pedicles were cannulated from T7 to L2 and at S1 and inspected to ensure no cortical violation. Appropriate-size screws were then inserted at all levels, once again excluding L4, and 2 8 x 80 mm screws were inserted into the iliac wings. All screws were stimulated, with no screw stimulated below a threshold of 10.

A pedicle subtraction osteotomy was then performed at L3-L4 and L4-L5. Once complete, the joints were removed, and bilateral pediculectomies were performed. Following several ancillary procedures, X-rays then demonstrated approximately 5 mm anterolisthesis of L3 on L4. This was addressed by the application of distraction and anterior placement of an autograft-packed Harms cage, thus performing an anterior fusion to achieve anterior column lengthening and minimize posterior buckling of the dura.

The L3 was then brought into normal anatomic alignment using reduction instruments, establishing ~40 degrees of lordosis. The osteotomy was then closed, with no egress of CSF noted. Intraoperative X-rays showed excellent correction of Mrs. G’s deformity and proper hardware placement.

Two rods were fashioned and put into place (Figure 4). Following decortication of the remaining bony dorsal elements, they were draped in a combination of autograft and allograft tissue, thus performing a fusion from T7 down to the sacrum. Normal closure procedures were then attended to.

Mrs. G was taken to the ICU in stable condition and remained in the hospital for six days before progressing into rehabilitation therapy.

About the Penn Spine Center

The Penn Spine Center comprises more than 45 experts who work seamlessly at convenient locations to provide treatment for every type of back and neck condition. Treatment of FBSS at the Penn Spine Center combines a multidisciplinary approach with a range of treatment that includes both non-surgical and surgical options, pain management, imaging and other diagnostics, counseling, neuromodulation, and other treatments in addition to surgery. The Penn Spine Center also focuses on rehabilitation to promote ambulation, self-care, independence, and improved quality of life, which are essential in the postoperative period to ensure a successful recovery.

Refer a Patient

Call the 24/7 provider-only line at 877-937-7366 or submit a referral through our secure online referral form.

Share this page

Related articles

Physician updates straight to your inbox

Subscribe to receive the latest clinical updates and news for physicians—including research highlights, case reports, and expert perspectives.