A  3D Illustration of the lungs

Bronchoscopic Lung Volume Reduction (BLVR) in advanced COPD

Non-surgical BLVR uses implantable endobronchial one-way valves to treat advanced chronic obstructive pulmonary disease (COPD) and emphysema.

  • December 1, 2025

Interventional pulmonologists at the Penn Harron Lung Center are performing bronchoscopic lung volume reduction (BLVR) for select patients with advanced chronic obstructive pulmonary disease (COPD) and emphysema.

Since the completion of the National Emphysema Treatment Trial (NETT), perspectives on the treatment of severe COPD have evolved dramatically in the United States. NETT compared the efficacy of lung volume reduction surgery (LVRS) plus medical management to medical management alone in more than 1,200 patients with severe emphysema. Both arms of the study involved pulmonary rehabilitation.

Among the important findings of NETT was that LVRS affords a substantial improvement in quality of life by comparison to optimal medical therapy in persons with predominantly upper-lobe emphysema and low baseline exercise capacity.

Despite these benefits, LVRS is limited by strict patient selection criteria, cost, and safety concerns, including postoperative stroke and persistent air leak.

A number of innovations have emerged in recent years to both increase access to effective therapy for severe COPD and improve upon the limitations of LVRS. Among these is bronchoscopic lung volume reduction (BLVR), a nonsurgical procedure available at the Penn Harron Lung Center for patients with COPD who meet certain criteria.

BLVR uses implantable endobronchial one-way valves to prevent re-inflation once air has escaped a targeted lobe. In a fully occluded lobe, this will precipitate collapse, leading to a reduction in air trapping and hyperinflation.

Endobronchial valves have been shown at 12 months following treatment to improve dyspnea, exercise tolerance, and quality of life in selected persons with advanced COPD.

Patients cannot have had prior LVRS on the target lobe, significant resting hypoxemia, or pulmonary hypertension, and must be non-smoking, among other qualifications for endobronchial valve implantation.

Case report

Mr. G, a 60-year-old man, was referred to the Interventional Pulmonology section of the Penn Harron Lung Center for consideration of non-surgical lung volume reduction using endobronchial valves for the treatment of advanced COPD due to alpha-1 antitrypsin deficiency. Mr. G’s past medical history was otherwise unremarkable.

At his evaluation, Mr. G described progressive dyspnea over the last few years and reported that he had been confined to the first floor of his 2-story house by the need to wear supplemental oxygen. Having previously completed pulmonary rehabilitation, he was now on maximal medical therapy, and was concerned about the risks of surgical lung volume reduction.

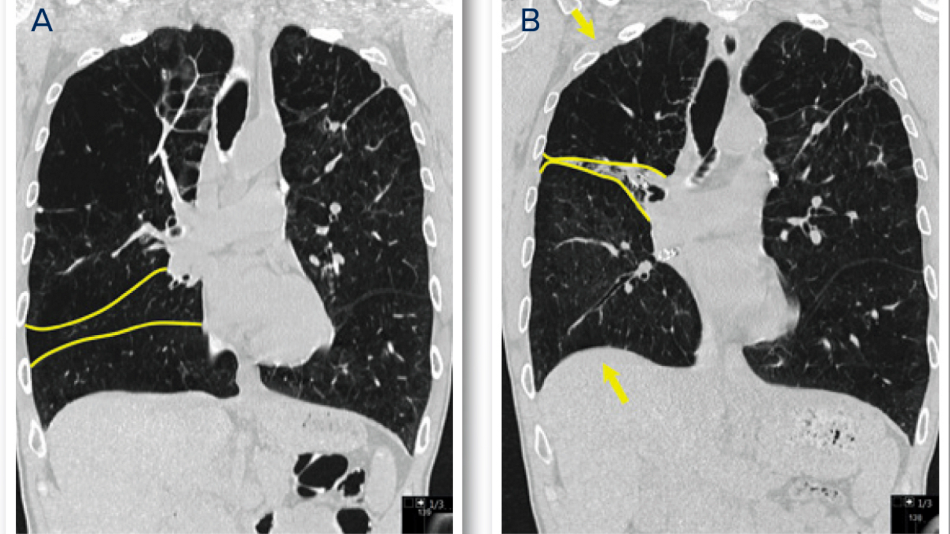
Side-by-side lung scans, labelled A and B, show the difference in lung shape before and after BLVR. Yellow outlines and arrows indicate the movement and decreased size of the lobes and diaphragm.
Figure 1: Coronal view of the right lung prior to therapy (A) and following BLVR (B), where is demonstrated significant reduction of the right upper lobe volume (upper arrow), complete deflation of the right middle lobe, and return of the diaphragm to a more natural configuration (lower arrow).

His prior breathing tests demonstrated severe COPD with an FEV1 of 0.82L (23 percent of predicted), severe hyperinflation (TLC of 9.14L, 126 percent of predicted) and severe air trapping (RV 5.71L, 224 percent of predicted). On a 6-minute walk test (6MWT) he was able to walk 276 meters (~300 ft).

Further, his CT scan showed severe emphysema in the right upper and right middle lobes with an intact major fissure suggesting the absence of collateral ventilation. This information suggested that he would likely benefit from endobronchial valves to treat his COPD.

At bronchoscopy, a direct measure confirmed the absence of collateral ventilation to the right middle lobe and right upper lobe (Figure 1A).

A total of seven endobronchial valves were then deployed in these targeted lobes. CT scans following his procedure demonstrated substantial reduction of right lung volume and return of the diaphragm to a more natural shape (Figure 1B).

Mr. G was monitored for complications over four days in the hospital and recovered well. At his first follow-up visit one month later, he noted marked improvement in his dyspnea and was now walking up and down his stairs without difficulty. Repeat spirometry noted an improvement of over 500mL to 1.4L.

On his two-month follow-up, Mr. G was no longer wearing oxygen and notably improved in mood. At his 6MWT, he was able to walk 390 meters (slightly less than a quarter mile), a 43 percent improvement over his pre-procedure performance.

Faculty Team

The Penn Harron Lung Center is among the oldest and most advanced providers of interventional pulmonology in the nation. Penn interventional pulmonologists work collaboratively with referring primary care physicians and specialists in pulmonary medicine, thoracic surgery, and transplant to design treatment plans around the patient’s individual needs.

Interventional Pulmonology

Thoracic Surgery

COPD and Emphysema

Access

  • Penn Harron Lung Center
    Penn Medicine University City
    3737 Market Street, 10th Floor
    Philadelphia, PA 19104
  • Perelman Center for Advanced Medicine
    3400 Civic Center Boulevard, West Pavilion, 1st Floor
    Philadelphia, PA 19104

Clinical consult and patient referral

For questions about evaluation for nonsurgical bronchoscopic lung volume reduction for the treatment of advanced COPD, or to schedule a time to connect with the Penn Interventional Pulmonary service, please contact Erika Viggiano, BSN, RN, OCN, at 267-319-6439.

For additional questions or alternative Pulmonary Service access, please contact Kathleen Kratz, Senior Physician Liaison, at Kathleen.Kratz@pennmedicine.upenn.edu.

Frequently asked questions

Associated Resources

Follow us

Related articles

Physician updates straight to your inbox

Subscribe to receive the latest clinical updates and news for physicians—including research highlights, case reports, and expert perspectives.