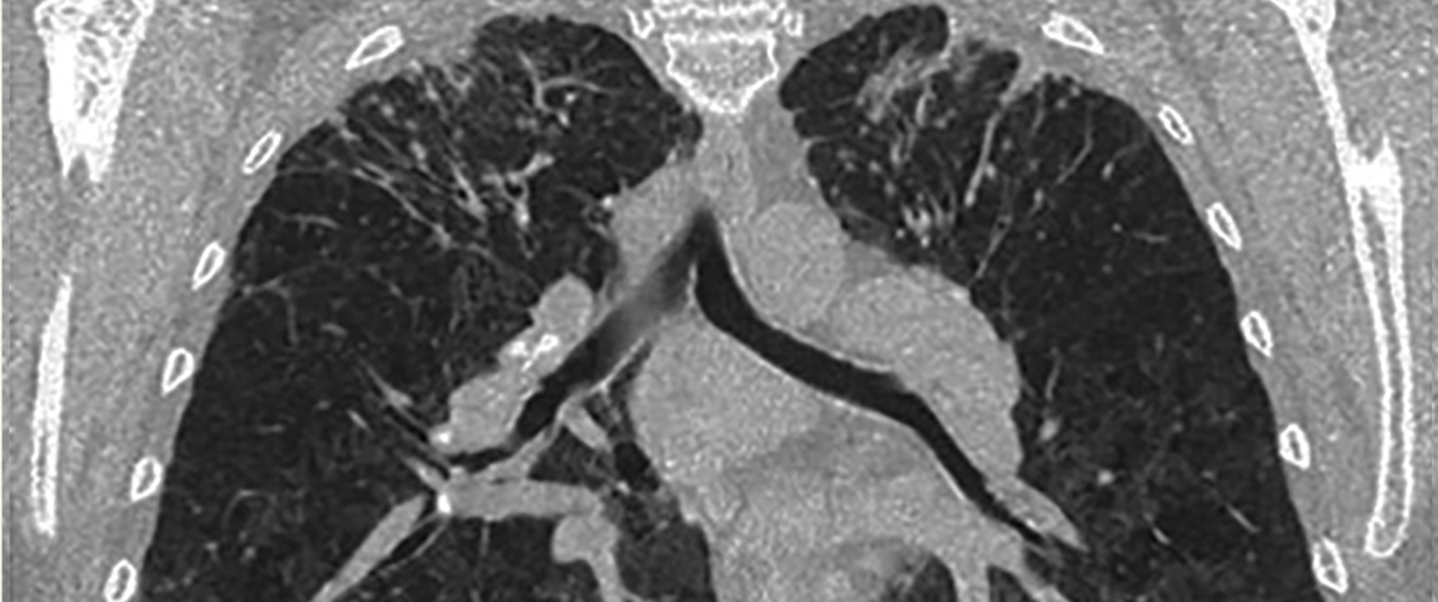
A high-resolution CT lung scan displaying scarring typical of beryllium-induced disease

Detection and management of beryllium-induced disease at Penn Medicine

Penn Medicine is one of a few institutions nationwide offering management of beryllium-induced disease. 

  • August 30, 2017
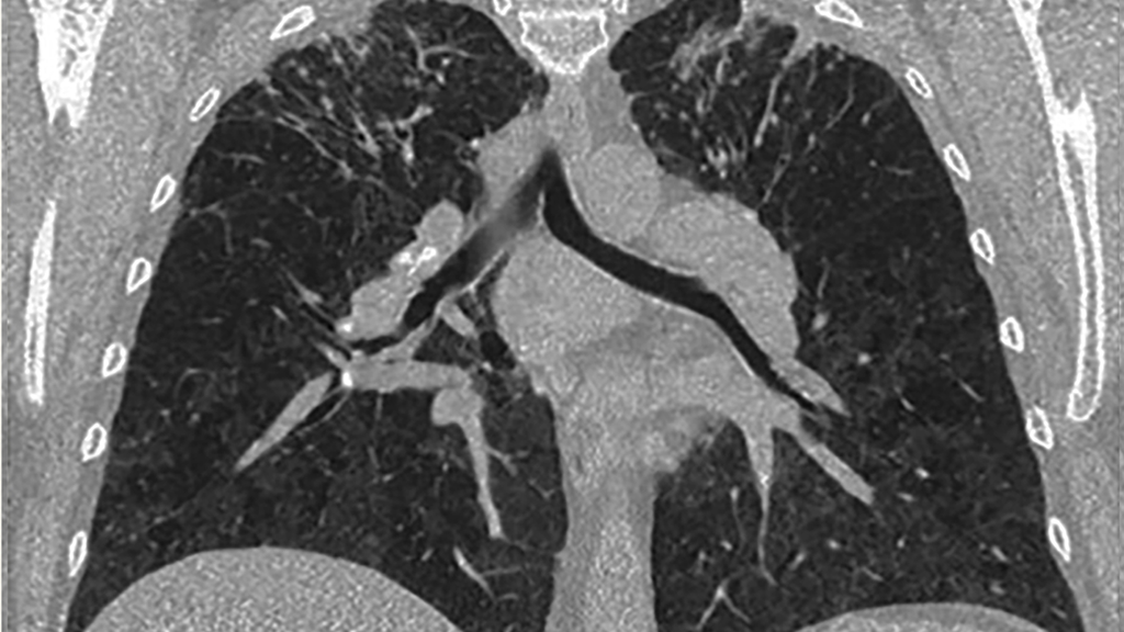
A high-resolution CT lung scan displaying scarring typical of beryllium-induced disease
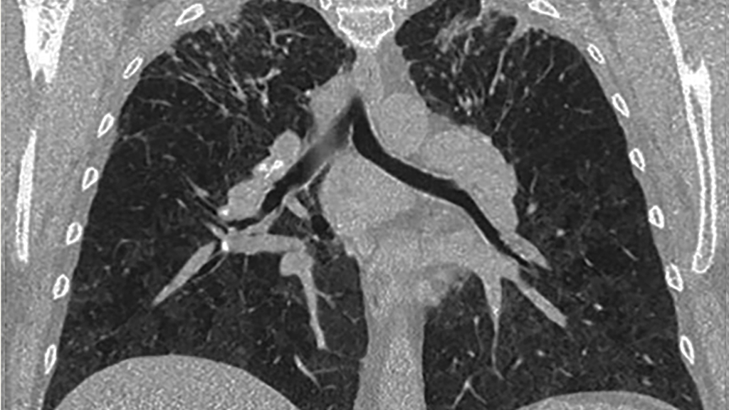
A high-resolution CT lung scan displaying scarring typical of beryllium-induced disease

The Harron Lung Center at Penn Medicine is one of a handful of institutions nationwide — and the only center in the Mid-Atlantic and Northeast Region — offering diagnosis and treatment for beryllium-induced disease.

An occupational granulomatous lung disorder caused by inhalation of beryllium dust or fumes, beryllium-induced disease has both acute and chronic pathologies. The acute form is now extremely rare. Chronic beryllium disease (CBD), by contrast, may affect as many as 16,000 individuals in the United States.

The lightest naturally occurring metal, beryllium is valued as an alloy for copper, nickel, aluminum and magnesium, to which it contributes unique capacities, including high thermal conductivity, dimensional stability, exceptional strength and a very high melting point (2332°F). For these reasons, beryllium and its derivatives have been widely used in the electronics, medical equipment and weapons industries since the 1930s, and have been associated with occupational lung disease for at least that long.

The first report of CBD appeared in 1946 among US workers in the fluorescent light industry, who experienced a spectrum of symptoms characteristic of the disease, including dry cough, fatigue, weight loss, chest pain and increasing dyspnea, after extended exposure to beryllium phosphors (The Guthrie Journal, 1944).

CBD is defined by a systemic immune response to beryllium and the development of scarring, interstitial pulmonary fibrosis and inflammatory granulomas. On cursory examination, CBD is virtually identical pathophysiologically to chronic pulmonary sarcoidosis. Tests are available to evaluate beryllium sensitivity, however, and when combined with biopsy can be used to differentiate the disease states. Such differential diagnosis in patients with sarcoid symptoms is among the specialties of the Penn Lung Center, where early detection and treatment of CBD are paramount concerns.

CBD is incurable, but symptoms can be treated with immunosuppressives, which ameliorate the hypersensitivity to beryllium and may improve gas exchange in the lungs. At Penn Medicine, prednisone is generally the first line therapy, alone or in combination with methotrexate or azathioprine.

Case study

Mr. W, a 56-year-old man, worked for five years in the early-1980s as a machinist in a factory manufacturing beryllium copper alloy pipe. His health was good until late 2001, when he began to experience occasional dyspnea and cough.

An X-ray at this time was negative for lesions or opacifications. A high-resolution CT in 2005, however, revealed confluent apical infiltrates in both lungs and evidence of mid-zone granularity. As a result, Mr. W’s pulmonologist diagnosed pulmonary sarcoidosis and referred him to the Harron Lung Center for treatment.

At Penn, pulmonary function tests confirmed marked reduction of total lung capacity, vital capacity and diffusion capacity. A cardiopulmonary exercise test revealed exercise induced oxygen desaturation.

Suspecting chronic beryllium disease from Mr. W’s work history, however, Penn pulmonologists performed a fiberoptic bronchoscopy and transbronchial biopsy, revealing non-caseating granuloma.

Beryllium lymphocyte proliferation testing (BeLPT) was performed on blood and bronchoalveolar lavage cells. These tests proved sensitization to beryllium and Mr. W was diagnosed with CBD.

He began prednisone, 40 mg, on alternate days, with almost immediate improvement of his dyspnea. The prednisone was titrated over 6 months to 10 mg daily, a dose found sufficient to sustain symptomatic and disease stability.

About the Beryllium Treatment Program at the Harron Lung Center

The Harron Lung Center at Penn Medicine has an international reputation as a referral center for the evaluation, diagnosis and treatment of patients with chronic beryllium disease, and collaborates with top-ranked pulmonary center National Jewish Health in Denver, CO, to ensure accurate disease detection as a precedent to intervention.

In addition to treatment and diagnosis, Penn Lung Center faculty are available to assist industry in the development of cost-effective screening programs for beryllium disease, as well as programs for the evaluation and treatment of symptomatic workers.

Treating beryllium disease at Penn Medicine

Penn Faculty Team

Share this page

Related articles

Physician updates straight to your inbox

Subscribe to receive the latest clinical updates and news for physicians—including research highlights, case reports, and expert perspectives.