Neurosurgeons operate on brain tumor

Advances in therapy for drug-resistant epilepsy: LITT at Penn Medicine

Neurosurgeons and neurologists at Penn Medicine are offering MRI-guided laser interstitial thermal therapy (LITT) for drug-resistant epilepsy.

  • November 13, 2023

Neurosurgeons and neurologists at Penn Medicine are offering magnetic resonance-guided laser interstitial thermal therapy (LITT) as a minimally invasive alternative to open resective surgery for drug-resistant epilepsy (DRE).

Defined as persistent seizures despite adequate trials of at least two tolerated and appropriate anti-seizure medications, DRE affects up to 40% of individuals with epilepsy.

A major cause of depression, anxiety, and quality of life issues, DRE has been linked to impaired cognition and a heightened risk of death in the affected population.

Seizures are classified as focal onset (originating in one part of the brain and subcategorized as aware and impaired awareness events) or generalized onset (occurring in the entire brain simultaneously.)

If a seizure focus can be identified, resective surgery is the mainstay of curative therapy for individuals with focal onset DRE. The risks of surgery are generally low but can be elevated in subsets of patients, including patients with epileptogenic foci that are deep-seated or located in or near the eloquent regions of the brain.

DRE management at Penn Medicine

Although surgery is among the full range of therapies available to patients with DRE at Penn Neurosurgery, a less invasive alternative, magnetic resonance-guided laser interstitial thermal therapy (LITT) is available for certain patients whose seizures come from a small, well-defined part of the brain. Also known as thermal ablation, LITT combines a laser probe with real-time MRI guidance to deliver energy with pinpoint accuracy to targeted areas of the brain.

Generally, LITT offers superior precision and a more predictable ablation volume than traditional radiofrequency ablation, a smaller incision, and reduced postoperative discomfort and length of stay compared to open surgery. LITT is considered an excellent option for individuals with mesial temporal lobe epilepsy (MTLE), the most common form of drug-resistant focal epilepsy.

Though lower than for traditional open surgical resection, seizure freedom outcomes with LITT are generally good, and subsequent ablations or open surgery are not precluded.

LITT has been a part of neurosurgical practice at Penn Medicine since 2018, during which time enhancements and advances in the procedure have been introduced. Today, all LITT procedures occur in the intra-operative MRI scanner on the 5th floor of the The Clifton Center for Medical Breakthroughs.

Case study

StereoEEG electrodes placed to identify the location of seizures
Figure 1: StereoEEG electrodes placed to identify the location of seizures. Each colored dot represents an individual electrode contact, an area capable of recording seizure activity. The electrode contact at the purple crosshairs was one of the primary areas from which seizures started. This part of the brain is the left posterior insula.
MRI showing laser ablation at area of seizure activity
Figure 2: This image was obtained during the patient’s MRI-guided surgery. The dark line in the brain is the laser catheter extending into the brain through a small opening in the skull. The marigold areas in the brain represent the area of the laser ablation at the locus of seizure activity.

Anna M., a 20-year-old woman, was referred to the Penn Epilepsy Center with a three-year history of non-lesional drug-resistant focal epilepsy with both focal awareness and focal-impaired awareness seizures. Anna had her first seizure at age 17 and had struggled with severe depression and anxiety for several years.

Anna had tried multiple anti-convulsant and anti-epileptic medications but continued to have epileptic episodes and symptoms suggestive of focal seizures or localization-related epilepsy. These events were nocturnal and occurred once or twice per week.

Diagnostics

Anna had a series of imaging studies at Penn, including MRI and magnetoencephalography (MEG), neither of which found evidence of lesions in her brain. A subsequent imaging series at the Epilepsy Monitoring Unit (EMU) at the Hospital of the University of Pennsylvania implicated several brain regions but also suggested the possibility of a deep-seated focus for her seizures.

Given the above information and the lack of a clear lesion on the brain MRI, a stereo EEG (SEEG) evaluation was conducted to better identify the source of her seizures (Figure 1). This involved placing electrodes in targeted areas of Anna’s brain, which pinpointed the source of the seizure locus to the left posterior insula, a deeper area of the brain covered by the frontal and temporal lobes.

Treatment

Having found the seizure focus, Anna’s treatment options included open surgery or MR-guided laser interstitial thermal therapy. In discussion with her neurosurgeon H. Isaac Chen, MD, and her epileptologist Ramya Raghupathi, MD, Anna was informed that while surgical removal of the left posterior insula offered the best chance for seizure freedom, the procedure also carried a heightened risk of weakness and language deficits. Given the possibility of seizure freedom with LITT and the opportunity for later surgery should it be necessary, Anna opted for an LITT procedure.

Anna’s LITT took place in the intra-operative scanner on the 5th floor of The Clifton Center for Medical Breakthroughs. Anna was placed in the scanner under general anesthesia. A laser probe was inserted into the insula on the left through a pinhole incision in the scalp and a small 4.5 mm hole in the skull. The location of the laser was confirmed in real-time using the MRI scanner. The MRI was then used to monitor brain tissue temperature as the laser was turned, providing real-time information on the extent of brain tissue that had been ablated (Figure 2).

Once the ablation was completed, a single stitch was used to close the incision site, and Anna was taken to the step-down unit for recovery. After an overnight stay in the hospital, Anna went home to complete her recovery.

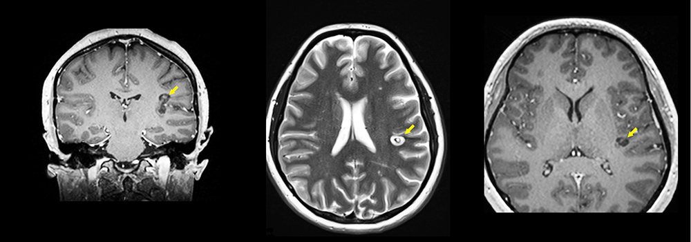
Three months after her LITT procedure, a follow-up MRI exhibited a small, well-defined lesion in the left posterior insula made by the laser (Figure 3). She has been seizure-free in the three years since her procedure and has returned to work.

Brain scans (3) after LITT showing elimination of seizure source
Figure 3: An MRI image showing the location of the laser ablation (arrows) 3 months after the patient’s surgery.

About the Penn Epilepsy Center

The Penn Epilepsy Center (PEC) is comprised of an interdisciplinary team of clinicians dedicated to advancing the fields of invasive neurophysiology, neuroimaging and neurosurgery for patients with epilepsy in all of its forms.

The PEC offers state-of-the-art diagnostic techniques, medical treatments, surgery and support to patients with epilepsy.

Share this page

Related articles

Physician updates straight to your inbox

Subscribe to receive the latest clinical updates and news for physicians—including research highlights, case reports, and expert perspectives.